Neurodegenerative diseases are progressive disorders that lead to the loss of brain cells (neurons) and impaired brain function over time. Brain atrophy refers to the shrinkage and functional loss of an organ or tissue due to cell loss. Atrophy in brain tissue results in irreversible damage to nerve cells and significantly impacts both individual life and public health. Alzheimer’s disease, Parkinson’s, Amyotrophic Lateral Sclerosis (ALS), and Huntington’s disease are among the most well-known examples in this category.
Neurodegenerative Diseases
Neurodegenerative diseases are disorders characterized by the progressive loss of nerve cells. Brain atrophy is an important clinical finding in the majority of these diseases.
-
Alzheimer’s Disease: Characterized by memory loss, decline in cognitive functions, and behavioral changes. It is the most common cause of dementia.
-
Parkinson’s Disease: Caused by the loss of dopamine-producing cells. Common symptoms include slowed movements, tremors, muscle stiffness, and balance problems.
-
Amyotrophic Lateral Sclerosis (ALS): Degeneration of motor neurons leads to muscle weakness and atrophy. As the disease progresses, it also affects respiratory muscles.
-
Huntington’s Disease: A genetic disorder causing involuntary movements, cognitive decline, and psychiatric problems.
-
Multiple Sclerosis (MS): Caused by damage to the myelin sheath surrounding nerve fibers in the brain and spinal cord. Symptoms may include vision problems, fatigue, muscle weakness, and coordination difficulties.
-
Dementia: A general term describing problems with memory, thinking, and behavior. Alzheimer’s disease is the most common type of dementia.
Causes
Although the exact causes of neurodegenerative diseases are not fully understood, several factors are thought to play a role:
-
Genetic factors: Some neurodegenerative diseases, such as Huntington’s disease, are directly caused by genetic mutations.
-
Aging: Advanced age is the most prominent risk factor.
-
Environmental factors: Exposure to toxins, head injuries, and certain infections can increase risk.
-
Lifestyle: Physical inactivity, unhealthy diet, smoking, substance abuse, and stress can negatively affect brain health.
-
Inflammation and immune system involvement: Microglial activation and chronic neuroinflammation contribute to brain degeneration.
-
Protein aggregation and proteostasis disruption: Accumulation of proteins such as β-amyloid and tau in Alzheimer’s, α-synuclein in Parkinson’s, and mutant huntingtin in Huntington’s disease, combined with insufficient clearance, leads to cell death.
-
Synaptic dysfunction and loss of connections: Functional impairment and loss of synaptic connections can occur even before cell death.
Symptoms
Symptoms vary depending on the type of disease and the affected brain region. Common symptoms include:
-
Memory loss and cognitive decline (especially in Alzheimer’s disease)
-
Movement disorders (tremors in Parkinson’s, involuntary movements in Huntington’s)
-
Muscle weakness and atrophy (in ALS)
-
Difficulty speaking and swallowing
-
Vision problems (in MS)
-
Behavioral and psychiatric changes (anxiety, depression, personality changes)
Diagnosis
-
Neurological examination
-
Medical history and timeline of symptoms
-
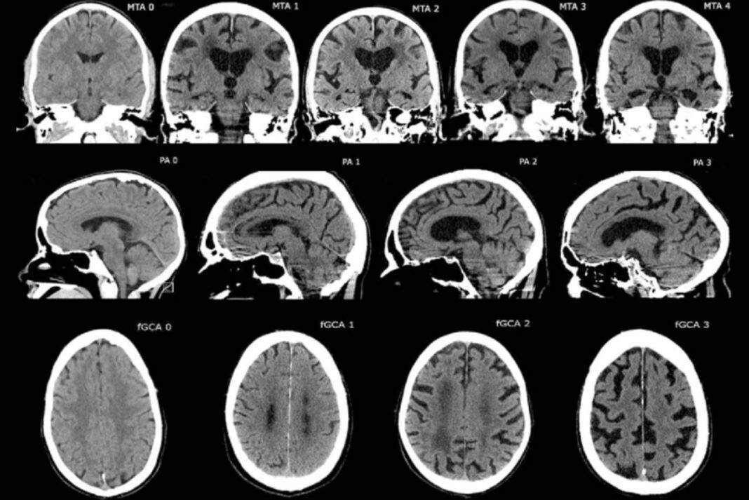
Brain imaging techniques (MRI, CT)
-
Blood tests, genetic tests, and cerebrospinal fluid analysis
Treatment
Currently, there is no definitive cure for neurodegenerative diseases. Available treatments aim to slow disease progression, alleviate symptoms, and improve quality of life.
-
Medication: Drugs used in Alzheimer’s, Parkinson’s, and Multiple Sclerosis can reduce symptoms.
-
Physical therapy: Supports movement and muscle strength.
-
Speech therapy: Effective in managing speech and swallowing difficulties.
-
Psychological support: Helps patients and their families cope emotionally.
-
Stem cell therapies and emerging research: Still experimental, but showing promising results.
Conclusion
Neurodegenerative diseases and brain atrophy are progressive disorders characterized by irreversible loss of nerve cells, significantly affecting individuals’ quality of life. The prevalence of these diseases, particularly Alzheimer’s disease, Parkinson’s, and ALS, increases with the aging population.
Current research aims to illuminate the mechanisms of these diseases and develop effective treatment methods. While existing treatments mainly focus on symptom management, advances in biotechnology and neuroscience may offer more promising solutions in the future.
References
-
Alife Health Group. (n.d.). Neurodegenerative diseases. https://www.alifesaglikgrubu.com.tr
-
Apollo Hospitals. (n.d.). Neurodegenerative diseases. https://www.apollohospitals.com/tr/diseases-and-conditions/neurodegenerative-diseases
-
European Platform for Neurodegenerative Diseases. (n.d.). What are neurodegenerative diseases? https://neurodegenerationresearch.eu/tr/norodejeneratif-hastalik-nedir/


